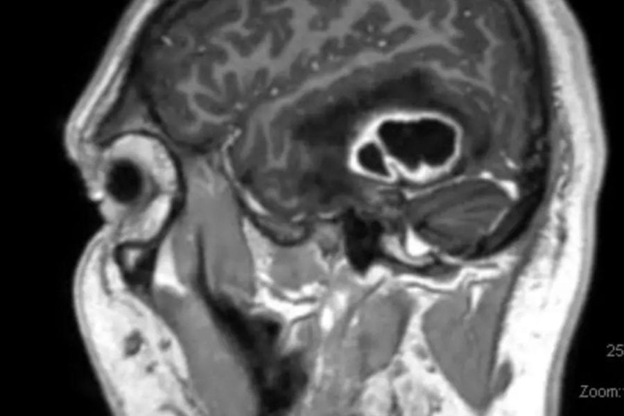
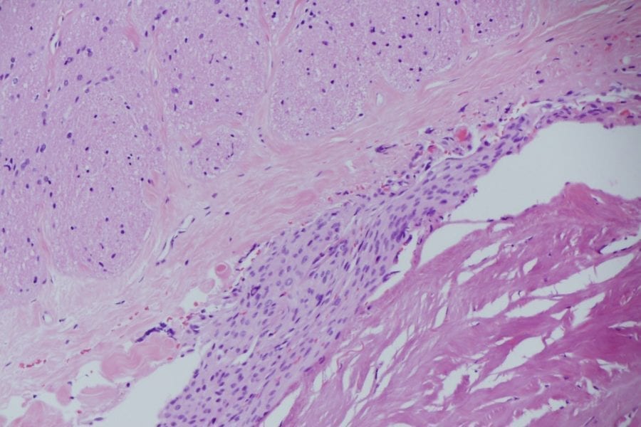
With over two decades of experience as a leading neurosurgeon, Dr Timothy Steel brings extensive expertise to the complex topic of head injuries. In recent…
Sports-related concussions have become one of the most debated topics in modern medicine, with ongoing discussions about diagnosis, recovery protocols, and potential long-term effects. As…
In an era where technology permeates every aspect of our lives, concerns about the impact of mobile devices on children's brain health have become increasingly…
In the ever-changing landscape of medical technology, we are seeing a continual enhancement of surgical practices through innovations aimed at improving patient outcomes. I have…
In the digital age, the ubiquity of mobile phones has sparked a significant public health debate, particularly regarding the impact of mobile phones on children’s…
The new Zeiss Microscope was delivered to the St Vincent’s Private Hospital in January 2019. It is a superlative piece of engineering. The new microscope…
When Timothy Steel, both a neurosurgeon and a spine surgeon, began his career 20 years ago, spine operations were risky procedures followed by intensive care.…
Introduction 30% of the population will develop significant neck pain. The pain is usually due to a disc herniation. If the disc protrusion is small pain tends to…
New scanning technology is being used to help doctors operate on back pain patients with greater confidence and precision. St Vincent's Private Hospital in Sydney…